攻略|怀孕多久做B超检查比较好?这份孕早期检查攻略,孕妈们查收学习( 二 )

文章插图
没任何表现的孕妈,就可以等到怀孕12周做产检时,一块儿再产检。
第一次早唐筛查,也就是NT检查,最佳检查时间是孕11-14周,而且需要提前预约,医生大多建议和怀孕12周的产检一块儿做。
这次检查是很重要的检查,孕妈们要提前预约好,并做好准备。
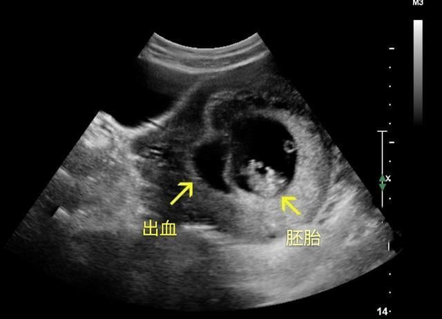
通过B超确定胎儿的实际孕周、检查胎儿的发育情况、看胎儿存在唐氏综合征的风险等。

文章插图
怀孕早期,除了做B超检查,还会做哪些检查??
在孕早期阶段,除了做B超,医生还可能安排抽血检查,看孕酮和HCG的水平。
孕酮是个变化的数值,而且每个孕妇的孕酮水平不一样,当低于医学规定的孕酮范围时,医生会提醒孕妈“孕酮低”,要注意保胎,甚至补孕酮。
这就会让孕妈们很担心、很焦虑!
其实,孕酮低也并不能说明胎儿就一定就发育的不好,孕酮作为参考就好,主要看HCG的数值翻倍情况。
只要HCG翻倍好,孕妇也没有出血、剧烈腹痛的情况,大多不要紧,注意休息,安心养胎就好。

文章插图
以上就是关于怀孕早期检查的知识,怀孕后什么时候做第一次B超、主要查什么、有哪些注意等。
你怀孕后,是什么时候做的第一次B超检查呢,是阴超还是腹部B超检查,或是你在孕早期有过哪些难忘的经历或经验,都欢迎和孕妈们分享~
- 准妈妈们|怀孕后别忙着高兴,这件事要趁早做,不然以后生孩子医院都不接收
- 宫缩|怀孕28周很关键,产检时3个问题医生不提,产妇也要主动问
- 水肿|怀孕路上最辛苦的6个阶段,你熬到第几个了?
- 搬重物|怀孕后,有些动作可能“伤胎”,孕妈尽量不要做,胎儿:不喜欢
- 准妈妈|怀孕后,几件事孕妇最好不要干,要不然出生的婴儿可能有胎记
- 剖腹|孕妇怀孕8个月摔倒大出血,胎儿没有生命体征,剖腹却有意外收获
- 怀孕|怀孕后怎么计算预产期,宝宝出生提前一些好还是延后一些好?
- 千万不要情绪化备孕,不然等来的不是怀孕而是姨妈
- 怀孕|孕妇尽量别吃3种食物,会影响胎儿的发育,这2个地方最好少去
- 怀孕|孕妇必读:孕后上班要注意这几个原则,宝宝才平安