臭味|孩子被嘲笑“嘴太臭”,被同学孤立,医生取出小颗粒,宝妈都嫌臭
欢迎来到我的娱乐小店!导语:孩子身上的味道总是很诱人,特别清新,给人感觉很舒爽,但是孩子渐渐的长大了,这种味道就消失了。可是尽管如此,孩子身上如果出现难闻的气味也是异于寻常了。案例:最近,刘女士说自己的儿子在学校里被同学给孤立了,为什么会这样呢?因为同学们都嫌弃自己的儿子嘴里有臭味。

文章插图
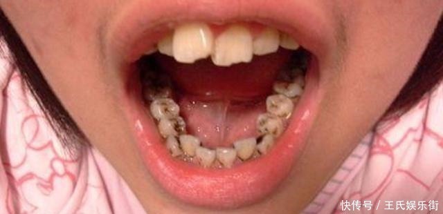
同学说每当靠近他的时候,这种臭味就会熏得他们想吐,因此,他们只得远离他。刘女士靠近儿子的嘴巴闻了一闻,果然是有很大的臭味。可是,为什么小小的孩子嘴巴如此臭呢?刘女士百思不得其解

文章插图
无奈之下,只好带着孩子去医院做检查,后来经过检查之后,医生在他的嘴里取出了一个黄黄的东西。奇臭无比,刘女士闻过之后都忍受不了。医生对刘女士介绍说这就是结石,正是因为这种东西的存在,所以才让孩子的嘴里产生的臭味。医生嘱咐刘女士一定要定期给孩子清洁牙齿,如果清洁不彻底,还会再次出现口臭的毛病。

文章插图
分析:生活中,小孩子是不应该出现口臭的,一旦出现了口臭想要避免这种情况的出现,家长就要做好以下几个方面:每天养成良好的运动习惯

文章插图
白天在外面,家长总是担心孩子吃不好,因此会在晚上的时候,给孩子做各种各样的好吃的,吃完之后就让孩子去写作业,或者直接在家里看电视,这就很容易导致消化不良的情况出现了。

文章插图
最好的做法是,在晚上吃完饭后,带孩子下去散散步,即使活动半个小时,也很少会出现消化不良的情况。良好的卫生习惯必须要保持有些孩子在白天玩的很累,等到已经困到睁不开眼的时候,才会上床睡觉,不得不说,这不仅仅是不讲究卫生的做法,而且还会让孩子产生口臭。

文章插图
让孩子养成定时排便的习惯,很多的孩子不喜欢在学校里面大便,因此在晚上或者早餐的时间,让孩子养成了定时排便的习惯,就不会便秘,也就减少了产生口臭的一个因素。孩子有了龋齿要重视孩子们喜欢吃糖,而且吃糖之后不喜欢漱口,含糖分的污渍粘在牙齿上,长时间得不到清理。这就会导致牙齿出现龋齿。
【 臭味|孩子被嘲笑“嘴太臭”,被同学孤立,医生取出小颗粒,宝妈都嫌臭】

文章插图
即使孩子在吃奶,也要尽可能让孩子吃完之后,用水漱漱口,尤其是在夜间的时候,很容易会产生龋齿,家长要足够重视孩子的口腔卫生。结语:一旦孩子出现了口臭的毛病,家长一定不要大意,不仅仅是影响孩子交际,而且还可能是身体某个部位出现了病理性的问题,要及时带孩子去看医生,彻底的解决根源上的问题。谢谢您的阅读,请点击关注阅读!
- 小时候过新年穿新衣,现在新年你们会给孩子准备特别的仪式感吗?
- 行程卡|行程卡带“*”会被隔离吗 行程卡带星号要核酸检测吗
- 父母|孩子如果出现下面几点,证明是被父母宠溺坏了,要赶紧纠正
- 宝妈|如果流露出5个迹象,父母不用藏着掖着,说明你把孩子教育的很棒
- 目标感|孩子懒惰没有目标?比定目标更重要的,是培养孩子的“目标感”
- 6岁之前,别教孩子学画画!
- 孤独症孩子语言理解能力差怎么办?几个建议帮到你
- 说话晚、咬字不清?重视孩子语言障碍,别让语言迟缓耽误孩子一生
- 孤独症孩子的11种常见问题行为(附加应对方法),家长速看
- 天使科普:这些表现是孩子智力低下的早期信号,家长可以注意了!
