糖果|越来越多孩子长“双排牙”,与糖果无关,是父母喂养有误区
什么叫做“双排牙”?其实双排牙的主要原因是在换牙期,乳牙滞留,导致恒牙生长受阻,最后恒牙和乳牙并排而立。形成双排牙的主因有很多,糖果的关系并不大,和家长的喂养习惯相关。

文章插图
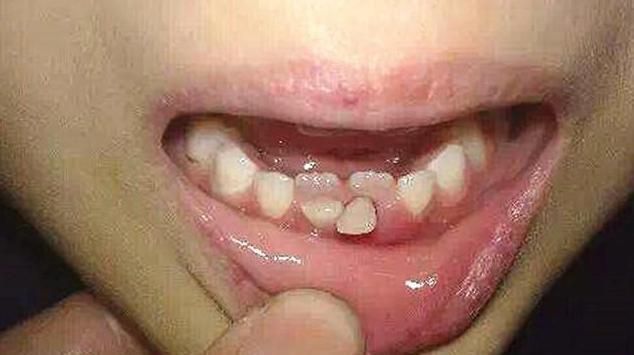
一、孩子长出双排牙,一家人跟着着急何丽的女儿今年已经六岁多了,正值换牙时期,可是门牙始终都不松动,父母也没有太在意。可有一天女儿告诉妈妈,自己的门牙里面有两个硬硬的东西。因为门牙没有松动,恒牙没地方长,只能从旁边长出来了。何丽还是没有在意,等着孩子这几天门牙的松动,然后再给孩子拔掉。可是等了近一个多月,孩子的牙齿还是没有松动的迹象。于是何丽察觉到有一些不对劲了,就带着孩子去看了医生。医生说这两年双排牙的孩子越来越多,大部分都是因为饮食习惯不规范造成。

文章插图
1. 孩子从小不吃硬的食物造成双排牙的极大可能,都是和饮食习惯有关,孩子在添加辅食开始,就是吃泥状食物。随后应该慢慢过渡到颗粒状食物,然后是小块状食物,最后孩子就能独立啃咬完整的食物。但是很多父母担心孩子不吃饭,于是都视线将食物处理好,孩子基本上接触不到稍硬的食材。最后导致乳牙得不到锻炼,就没有松动的迹象。2. 孩子自身的疾病还有些孩子是因为先天性的疾病,或者是继承恒牙出牙无力等等,这些都需要提前看医生,如果乳牙滞留的时间太长,就可以让医生拔出乳牙,让恒牙顺利长出来。

文章插图
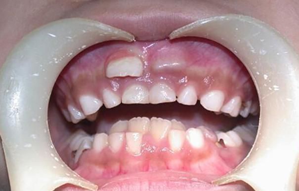
二、长出双排牙的危害1. 影响孩子外貌双排牙的主要危害,还是会影响孩子的外貌长相,孩子的恒牙会伴随一辈子,因为乳牙的滞留,长歪或者长坏了,孩子的整提外貌就会有影响,可能后期还需要花钱矫正,受罪又花钱。而且牙齿长歪了,孩子面部也会发生改变。2. 影响孩子进食双排牙会影响孩子的近视,由于畸形的牙缝存在,孩子咀嚼食物的时候,会产生不适感。而且两张牙齿并立而存,牙龈也会感到不舒服。如果孩子的双排牙影响了进食,那么孩子身体营养就无法跟上了。

文章插图
3. 影响孩子恒牙生长乳牙滞留最主要的问题就是影响恒牙的生长,如果乳牙长期不松动脱落,孩子也不去看医生,最后可能会造成恒牙的损伤。将来即使乳牙脱落了,恒牙的损伤也无法避免了。4. 影响口腔清洁如果孩子已经长了双排牙,由于难以清洁,孩子肯定会有食物在牙缝里,造成口臭。孩子有口臭,张口说话其他人就能闻到,同学们可能会笑话孩子。

文章插图
三、如何避免孩子长双排牙?1. 观察时间,及时就医在孩子换牙期间,一定要多观察孩子牙齿的生长情况,并且牙齿是否整齐,也是非常影响孩子面貌的。如果发现有什么不正常的地方,或者是孩子的牙齿发炎疼痛,一定要及时看牙医。2. 养成良好习惯无论是孩子爱吃糖果,还是孩子爱啃咬文具,都是对牙齿不好的事情。吃糖果会造成龋齿,啃咬文具会让牙齿发育变形,到时候一口牙乱七八糟,及其影响容貌。
【 糖果|越来越多孩子长“双排牙”,与糖果无关,是父母喂养有误区】

文章插图
3. 口腔保持清洁最后孩子从小就要讲究口腔清洁,在婴幼儿时期,父母应该用棉纱布或者是特定的手套,沾着温水给孩子擦拭口腔,每次吃完奶以后必须擦一下。等孩子慢慢长大,要教孩子一天刷两次牙,父母刚开始要多监督,很多孩子在刷牙这件事上,习惯性撒谎敷衍。
- 小时候过新年穿新衣,现在新年你们会给孩子准备特别的仪式感吗?
- 父母|孩子如果出现下面几点,证明是被父母宠溺坏了,要赶紧纠正
- 宝妈|如果流露出5个迹象,父母不用藏着掖着,说明你把孩子教育的很棒
- 目标感|孩子懒惰没有目标?比定目标更重要的,是培养孩子的“目标感”
- 6岁之前,别教孩子学画画!
- 孤独症孩子语言理解能力差怎么办?几个建议帮到你
- 说话晚、咬字不清?重视孩子语言障碍,别让语言迟缓耽误孩子一生
- 孤独症孩子的11种常见问题行为(附加应对方法),家长速看
- 天使科普:这些表现是孩子智力低下的早期信号,家长可以注意了!
- 天使课堂:儿童协调能力的训练方法
