满嘴|4岁宝宝坚持刷牙,半年后却满嘴“小黑牙”,父母无知多可怕
自从宝宝出生后,家长的心就被牵动了,一直都会记挂着宝宝的身体健康,毕竟只有身体健康了,聪明,善良,正直等才会有意义。
现在是信息时代,网络的普及也让越来越多的家长开始认识到了科学育儿的重要性,更是会通过手机或者电脑获取更多的育儿信息。
有需求就会有市场,现在市面上出现了很多牙医诊所,尤其是儿童口腔。这是因为越来越多的家长开始关注孩子的口腔健康了,毕竟拥有一口健康的好牙,不仅能给孩子的颜值加分,也关系着孩子的身体健康。
【 满嘴|4岁宝宝坚持刷牙,半年后却满嘴“小黑牙”,父母无知多可怕】

文章插图
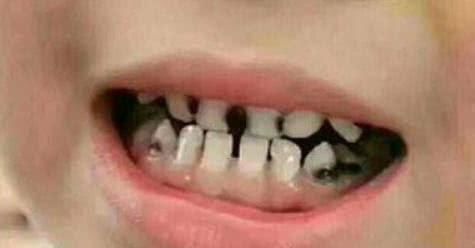
4岁宝宝坚持刷牙,半年后却满嘴"小黑牙",父母无知多可怕
可是却有一个4岁宝宝坚持刷牙,半年后却满嘴"小黑牙",父母无知多可怕,这是怎么回事呢?天天今年4岁了,是个长得有些秀气的男宝。天天的妈妈是全职宝妈,自从生下了儿子,就辞了工作,专心在家照顾儿子。
因为也是受过高等教育的人,妈妈对儿子的饮食起居方面的照顾更是非常遵循科学育儿的理念,经常上网学习,积累育儿知识。
因为自己和老公的牙齿都不整齐,还总是牙疼,所以妈妈非常担心天天也没有一口好牙,在天天开始长出第一颗小乳牙的时候,妈妈就会每天坚持给宝宝刷牙。养成了习惯,天天坚持每天刷牙并不是难事,三岁以后就不用妈妈帮忙刷牙了。每天睡前都会主动去刷牙,这也让妈妈很欣慰。

文章插图
4岁宝宝坚持刷牙,却还是满嘴"小黑牙",父母无知害了孩子
可是最近,妈妈却发现儿子变黑的牙齿越来越多了,刚开始还以为牙膏不好用,换了几个牙膏还是如此。最后经过牙医仔细的检查和询问,对妈妈说:"都是你害了自己的孩子啊,你儿子的一口黑牙就是你造成的。"
原来,每天天天刷完牙后,妈妈都会再让天天喝一杯牛奶,希望给孩子补充营养,但是就因为这一杯奶,才毁了孩子的牙齿。
孩子牙不好家长有责任,那么要如何避免呢?
1.定期护理
虽说孩子牙好不好也有遗传的因素,但是家长也应该做到及时发现,及时补救。所以如果孩子牙不好,家长也有不可推卸的责任。
很多家长意识到每天坚持刷牙是非常必要的,但是孩子在六七岁以前最好由家长帮忙刷或者家长监督孩子刷牙,否则孩子很容易刷牙不仔细,清洁不到位,一样会形成龋齿。
此外,家长还应该定期带孩子到口腔医院做护理,让专业的医生检测孩子的牙齿是否出现问题,并且及时地做出补救。

文章插图
2.少吃甜食
相信没有哪个孩子能够拒绝甜食的诱惑,尤其是糖果,巧克力,冰淇淋等。但是众所周知,甜食对牙齿的腐蚀作用最大,还是少吃为妙。
家长可以通过引导来让孩子从甜食上面转移注意力,给孩子多吃一些健康的零食来替代甜食,比如酸奶,坚果等。
甜食摄入过量还会增加儿童肥胖的几率,对智力也有损伤,所以家长不能忽视。

文章插图
3.饮食拒绝油腻
现在人们的生活水平提高了,越来越多的"小胖墩"也就出现了,这些孩子统一的特征就是爱吃肉,爱吃油腻的食物。
但是过于油腻的食物不仅对孩子的身体健康有威胁,还很容易形成龋齿,所以家长尽量多给孩子吃些清淡的食物。
- 飞鹤再推新品星飞帆卓睿 唤醒宝宝天生“三力”
- 嫌弃|“黑脸宝宝”走红,出生后被全家嫌弃太丑,2个月后却逆袭成“团宠”
- 婴幼儿该不该频繁理发的三个原因,宝妈能从中发现宝宝的健康情况
- 妈妈们|劝告母乳喂养宝宝时有6个表现,要停止喂养,再喂就该积食了
- 新生儿宝宝为什么总打嗝?
- 乳头|宝宝哭闹不止,妈妈掀开衣服后瞬间爆炸:原来是奶奶做了“手脚”
- 新生儿|三胎宝宝夭折,家属索赔200万,曾两次拒绝剖腹产引热议
- 体重|孕妈妈体重增长的多少、早晚都会影响胎宝宝的发育,不能任性为之
- 智商|遗传和孕期营养,哪个对宝宝的智商影响更大?附孕期饮食指南
- app|胎记是怎么来的?产科医生:孕期要避开3种行为,以免宝宝长胎记
