妈妈|怀孕25周查出宫颈癌,年轻妈妈做出这样一个决定
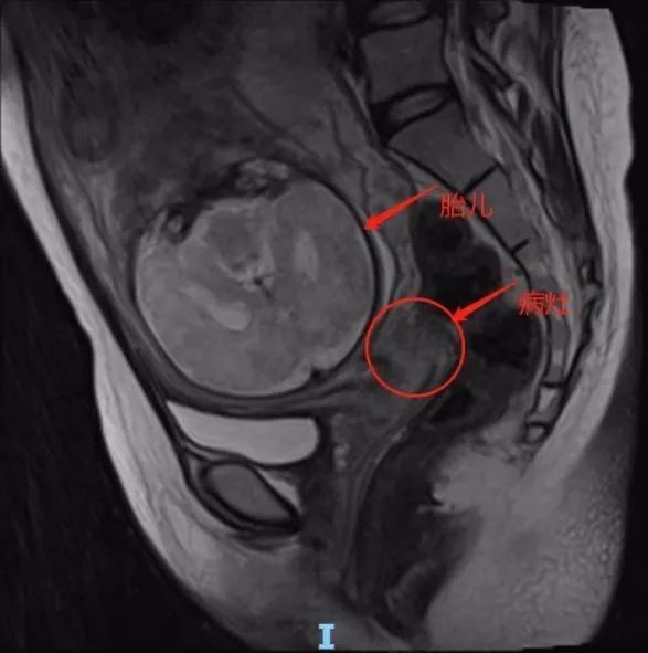
去年,29岁的小均(化名)成功怀上宝宝,然而这份喜悦并没有持续多久,在一次产检中,当地医生发现她患上了宫颈癌,建议她终止妊娠。
“我要保住这个孩子。”小均拒绝终止妊娠。最终,在广州医科大学附属第二医院(下称“广医二院”)多学科团队的护航下,小均顺利生下宝宝,并接受了宫颈癌根治手术,母婴平安。这是广医二院成功开展的首例胎儿存活的孕晚期剖宫产+宫颈癌根治术。
孕期查出宫颈癌,保大还是保小?
小均在怀孕25+4周时才查出宫颈癌。在当地医院,医生建议她尽快手术终止妊娠。手术意味着以后可能不能生育,这消息对一个年轻的准妈妈犹如晴天霹雳。但疾病并没阻止小均想要成为母亲的决心,反而使她更加渴望这个天使宝宝的到来。
夫妻俩在多家医院奔走,得到的答案都一样:建议尽快终止妊娠。亲友们也建议她放弃。一个偶然的机会,经朋友介绍,她抱着一丝希望从老家来到广医二院求医。
多学科协作勇闯一道道难关
接诊的广医二院妇产科主任、主任医师史文静和团队了解小均病情后,将她收治入院。但妊娠合并宫颈癌诊治较为困难,尤其是对于有强烈妊娠意愿的小均,如何选择合理有效的治疗方案、抓住最佳治疗时机?无论医护人员还是小均和家人,都面临着巨大的挑战。
史文静带领团队查阅大量资料,了解国内外最近的诊治进展,多次组织妇产科与产科、儿科、麻醉科、放射科、外科、血液科等院内多学科团队人员充分讨论、反复研究,考虑如何有效治疗母体肿瘤的同时最大化保护胎儿安全,为小均制定个性化治疗方案,最后决定先做两个疗程的新辅助化疗,控制疾病进展,同时密切关注胎儿发育,尽量延长孕周再行剖宫产,并为小均施行宫颈癌根治手术。
国内外已有的实例表明,由于孕晚期胎儿大部分器官已发育完成,新辅助化疗的药物导致胎儿畸形或者发育异常的可能性较小,多学科团队的讨论结果给了小均极大的安慰。
在医护人员的帮助下,小均勇闯一道道难关,坚持配合治疗。“我要保住这个孩子。”幸运的是,每次接受新辅助化疗后,肿瘤均有所缩小,这更坚定了她的信心。

文章插图

文章插图
顺利剖宫产,母子平安
孕33周时,广医二院妇产科联合多学科再次进行术前病历讨论和全院会诊,多方评估小均病情,讨论手术时机、方案、分娩及术式,分析可能出现的并发症及应对措施。考虑到手术时机已成熟,医护团队征得家属同意后决定为小均实施子宫下段剖宫产+宫颈癌根治术。
手术当天,伴随着一声嘹亮的啼哭声,一个体重1.95公斤的婴儿平安降生,并迅速被转至新生儿科继续治疗。

文章插图
随后,历时6个小时,医护团队成功为小均施行了宫颈癌根治术。

文章插图
专家团队手术中

文章插图
专家团队手术中
术后,史文静带领医护团队根据小均的实际情况制定动态的医疗护理计划,并密切跟踪宝宝的生长发育情况,及时和小均及家人沟通。如今,小均和宝宝均已顺利出院,恢复良好。
提醒:备孕前莫忽视这项检查
妊娠期宫颈癌发病率为1.6-10.6/10000,80%以上为鳞状细胞癌,有1/3的妊娠期宫颈癌患者发现前无明显症状。
- 母则刚|“生二胎你后悔吗?“听听下面妈妈们的回答,让你很感动
- 因为|头胎和二胎入盆时间有什么不同?二胎妈妈很着急!
- 付柯炳|爸爸姓“付”,妈妈姓“柯”,给娃上户口,民警:这名酒后取的?
- 孩子们|老师让孩子画“妈妈的睡姿”,不料画风各种写实,宝妈:回家挨打
- 准妈妈们|怀孕后别忙着高兴,这件事要趁早做,不然以后生孩子医院都不接收
- 妈妈们|除了去医院,孕妇怎么判断腹中胎儿是否还活着?
- 儿子|爸爸给儿子取名“东风”,护士手误少写一笔,妈妈笑称:不改了
- 妈妈们|劝告母乳喂养宝宝时有6个表现,要停止喂养,再喂就该积食了
- 双胞胎儿子|5年前,“无腿妈妈”坚持做试管,怀上双胞胎儿子,如今怎么样了
- 乳头|宝宝哭闹不止,妈妈掀开衣服后瞬间爆炸:原来是奶奶做了“手脚”
