彩超|b超和彩超的区别 什么情况下使用普通B超或彩超
b超和彩超的区别,每个准妈妈都需要经过b超这一关的检查,但是在网上做b超功课的时候会发现除了b超还有彩超,那么b超和彩超的区别,什么情况下使用普通B超或彩超,b超和彩超有哪些注意事项呢,下面八宝网的小编就来说说:b超和彩超的区别 什么情况下使用普通B超或彩超.
文章图片
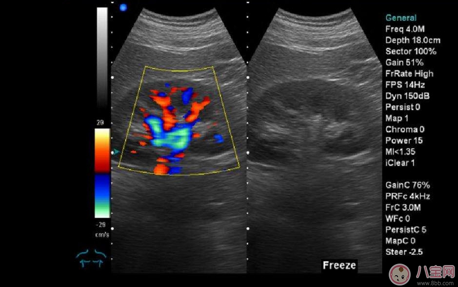
b超和彩超的区别??B超也称为二维超声,分为黑白的和彩色的两种 。彩超其实还是黑白的,彩超简单的说就是高清晰度的黑白B超再加上彩色多普勒,既具有二维超声结构图像的优点,又提供了血流动力学的丰富信息 。彩超的分辨率会比一般黑白B超高一些,所以在需要做比较细致的检查的时候,更多的医生愿意通过彩超来检查 。例如,因为彩超能用彩色标注血流,所以当脐带绕颈的时候就会看见宝宝的脖子上呈U形或者W形的血流,对是否脐带绕颈也就一目了然了 。目前用于产检的超声波一般都是二维的 。
文章图片
什么是普通B超【彩超|b超和彩超的区别 什么情况下使用普通B超或彩超】通过B超能测出胎儿双顶径、头围和腹围等数据,进一步确认宝宝的预产期 。还可帮助医生观察胎儿是否存活或有无畸形,羊水是否过多等 。价格相对比较便宜,在90元左右(会根据各地具体情况的不同而上下浮动) 。
什么是普通的彩超除了能观察到通过B超观察到的一切外,彩超能够直观成像,显示更清晰,结果也更快速,可发现异常血流,为诊断胎儿先天性心脏缺陷提供了诊断依据 。价格要比B超贵,大概在150元左右(会根据各地具体情况的不同而上下浮动) 。二维彩超适用于整个孕期,特别是临产前 。二维彩超的图像也并非就是彩色的,而是用彩色标注心脏、血流等指标,其实就是高清晰度的黑白B超再加上彩色多普勒 。观测到的图像以红蓝两色血流方向为主,面向探头的呈现红色,反之为蓝色 。这种技术能够观测到胎儿的血液流动情况,有利于及时发现胎儿的异常 。比如,发现胎儿颈部有血流环,则意味着发生了可导致窒息死亡的脐带绕颈 。
文章图片
什么情况下使用普通B超孕早期的时候用普通B超就可以了,早期只是检测胎儿大概情况,比如检测是否在宫内、胎儿的头围、股骨长、羊水等指标 。一般在怀孕8-12周做一次黑白B超确定在宫内和胎龄 。二维B超适用于孕早期 。二维B超是最普通的B超,它采用的是黑白超声诊断技术,即通过超声探头测得的是黑白图像,且只能观测到胎儿的组织结构,测量出胎儿头部、身体的长度,内脏、骨骼的大小和形态,以及是否有畸形 。
- 张艺谋|张艺谋讲狙击手和长津湖的区别 你怎样看待这两部电影
- 孕期要吃和不要吃的那些误区,你知道吗?
- 孟绪安结局|《流光之城》孟绪安结局是什么 冯世真和孟绪安有感情线吗
- 因为|头胎和二胎入盆时间有什么不同?二胎妈妈很着急!
- 2022年初中生“标准身高表”:超半数学生未达标,别让孩子拖后腿
- 四维彩超|孕期最关键的4次产检,就算再忙,宝爸也要陪孕妈一起
- 孩子最佳分房睡的年龄是几岁?不是3岁和5岁,而是看这3点
- 孩子最佳分房睡的年龄是几岁?不是3岁和5岁,而是看3点
- 智商|遗传和孕期营养,哪个对宝宝的智商影响更大?附孕期饮食指南
- 外婆|在孩子眼中,外婆和奶奶有什么区别?听听孩子们怎么说的
