男孩|7岁男孩长出“双排牙”,要一颗一颗拔掉,奶奶自责不已,赖我啊
俗话说,隔辈亲,隔辈亲。对于孩子,我们永远不会怀疑爷爷奶奶或者外公外婆的爱。因此,很多人也愿意将自己的孩子托付给父母带,当然其中有很多是迫于工作的压力,而不得已而为之。7岁的轩轩就是从小被奶奶带大的,可现在每次奶奶提起轩轩,都会忍不住的掉眼泪,自责不已,这是怎么回事呢?

文章插图
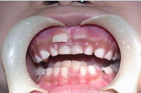
7岁男孩长出了“双排牙”,要一颗一颗的拔掉?
原来,轩轩从小就是跟着奶奶一起生活,一直到了6岁,眼看班里好多小朋友都已经,开始换牙了,而轩轩却一直没有换牙的动静。并且,轩轩还向身边小朋友炫耀自己牙齿多的“特殊性”。偶然听到这话的班主任,立刻将轩轩拉到身边,一看才弄明白了是咋回事,原来小轩轩所说的自己牙多的这个“特殊性”,是因为在他的乳牙内侧,还有一排牙齿。不敢怠慢,班主任立刻打电话让轩轩父母回来定夺。
在老师的建议下,轩轩父母带孩子来到了口腔诊所。经医生检查,确定是双排牙。医生介绍,双排牙,是一种常见的口腔疾病,如果不及时将乳牙拔掉为恒牙腾出空间,它会继续存在影响恒牙的生长,将来会很麻烦的。但是考虑到轩轩年纪太小,医生建议每次只拔一颗牙,这样不至于创面太大。虽然整个过程,孩子会持续很长时间忍受拔牙的痛苦,但父母也只能忍痛同意了。

文章插图
那么,轩轩为何会出现双排牙呢?经过询问,医生最终找到了答案:原来,轩轩一直以来的饮食习惯就有问题,就是在奶奶身上。奶奶因为怕孩子吃硬东西会硌到牙齿,每次都会将硬的食物捣碎,即便是吃肉,也会因为怕塞牙而将肉打成肉泥。医生介绍,正是因为这样的过度保护,让孩子的乳牙因为不能受到足够的摩擦与刺激,而迟迟不能脱落。乳牙不给恒牙让位置,就只能在旁边萌出。老人这样爱护孩子的做法可以理解,但这次是真的好心办了坏事。回家后,奶奶听说轩轩牙齿的问题是因为自己后,悔恨不已,都赖我啊!

文章插图
对于孩子的护理,真的是马虎不得,作为家长要时刻关注孩子身体的状况。就乳牙来说,如果乳牙刚刚萌出,其实就可以逐渐的添加辅食了,让孩子自己锻炼咀嚼能力,从半流质到固体食物,从植物性食物到肉食,从细粮到粗粮。只有多用孩子的乳牙,才能促进孩子乳牙的发育生长,到了换牙季才能自然脱落,为孩子将来的口腔发育和语言能力发展打下良好的基础。

文章插图
另外,若乳牙出现龋坏,也不能不管
很多家长在这块也存在误区,认为乳牙早晚要换,就不管它了。这是严重的错误认识,因为这不仅是换牙问题,还会间接影响到孩子的面部发育,甚至是营养摄入。试想,如果您一边牙齿有龋坏,咬东西就牙疼,您也一定会刻意避开它的。
【 男孩|7岁男孩长出“双排牙”,要一颗一颗拔掉,奶奶自责不已,赖我啊】这样的话,就会造成另一侧的牙齿过度使用,或者食物咀嚼不彻底,增加胃肠负担等等。所以,乳牙龋坏千万不要置之不理,赶紧到正规的口腔门诊处理,越早去,孩子受得罪也将越少。
- 打分|11岁男孩给父母打分,爸爸10分,妈妈0分,评价标准很“无奈”
- 小王子|成功顺产小王子!症状附上,喜欢男孩的孕妈来接走,都能如愿!
- 男孩|男孩饭店里提“4个垃圾桶”,以为顾客会嫌弃,不料露出羡慕目光
- 自律的宝妈有多可怕?37岁孙俪食谱公开:常人无法接受
- 家常菜|6岁男孩脾胃坏死,医生:3种“家常菜”很伤脾,别再给娃吃
- 堆堆|孩子乳牙没掉,新牙就已长出?造成孩子乳牙脱落晚的原因不止一种
- 胎儿|“十男九红”,怀孕初期身上见红,表示生男孩,这种说法可信吗?
- 男孩这个岁数前“性早熟”,身高注定长不高,定格在一米七算幸运
- 过生日|9岁男孩过生日当场大哭,看到生日蛋糕后,网友:我看我也哭
- 男孩如果有这4种特征,说明妈妈教的非常好,值得让人敬佩
