宝宝|7岁男孩长“双排牙”,原因是妈妈的精细喂养,换牙期宝宝要注意
【 宝宝|7岁男孩长“双排牙”,原因是妈妈的精细喂养,换牙期宝宝要注意】“文/萌主妈咪育儿经(原创,欢迎个人转载分享)”
牙齿是孩子面部的重要部分,关系到孩子的进食、外貌和健康。不少年轻人都在成年后带牙套、烤瓷美白,治疗费用更是不菲,而牙齿问题多是童年留下来的。
人的一生会有两副牙齿,第一副是乳牙,1岁萌出6岁脱落;第二副就是恒牙,6岁萌出伴随终生。所以,对孩子影响更大的是恒牙,换牙期很容易发生“乳牙未落,恒牙已出”,给孩子的外貌带来影响,严重的需要手术治疗。

文章插图
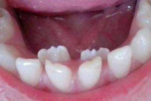
7岁男孩长“双排牙”,原因是妈妈的精细喂养,换牙期宝宝要注意
领居家有个7岁的男孩,每到周末的时候就被妈妈带去医院,后来才知道是去矫正牙齿了。不过,看到孩子的牙齿还是觉得恐怖,正常人都是上下各一排牙齿,而他却长了“双排牙”。
男孩妈妈解释说,他的情况还算比较好的,只在下牙床长了两颗,医生说能够矫正。在牙科诊所里,不少孩子都有类似情况,尤其是6-8岁换牙期间的宝宝。

文章插图
那么,为什么会长“双排牙”呢?
根据调查数据显示,近几年我国儿童“双排牙”概率,已经达到3成。
在父母这一代童年的时候,很少会看见孩子长出双排牙,而现在的孩子双排牙已经成了常事,罪魁祸首还是妈妈的精细喂养。
以前孩子多都是散养模式,现代家庭多是1-2个孩子,父母对孩子的养育十分重视。在孩子吃饭的时候,既怕呛着又怕噎着,比如青菜要剪断了吃、瓜果要榨成汁喝、苹果要削成片吃……过度的精细喂养,损害了孩子的自主咀嚼能力。
而乳牙的脱落需要的就是不断咀嚼,过度的保护导致乳牙脱落停滞,恒牙到了萌出的时间,只能从侧面长出,从而形成了“双排牙”。

文章插图
正值换牙期的宝宝要注意,采取以下3种方法,预防“双排牙”萌出
“双排牙”现象在城市儿童身上越来越明显,已经出现双排牙迹象,或者7岁乳牙还未脱落的宝宝家长,一定要及时就医检查。预防双排牙也很简单,宝宝正值换牙期的家长要上心,以下三种方式就最直接的预防措施。
1)多吃耐嚼食物
宝宝3岁后就过了复试阶段,可以适当的吃一些硬的食物,有利于促进孩子的牙齿发育。芹菜、玉米、苹果等食物都可以正常吃,适量而不过量,不会伤害宝宝的牙齿,反而会为牙齿发育保驾护航。

文章插图
2)适当补锌补钙
牙齿的发育离不开微量元素,尤其是锌元素和钙元素,不仅对牙齿发育有利,也是孩子身体发育的必备元素。建议家长们采取食疗法,比如幼时母乳喂养、平衡膳食、补充瘦肉类和鱼类等。
3)适当“拔”牙助长
孩子换牙阶段,乳牙的脱落是一个漫长的过程,脱落得太慢家长可以帮忙。比如孩子的牙根已经脱落,只剩牙龈还连接着,就可以帮助孩子拔掉,以便于恒牙在原位置萌出。但是牢固的牙齿不要动,即便脱牙年龄已经过了,也不能擅自拔牙,及时就医解决。

文章插图
今日话题:换牙期间,你家孩子遇到过什么问题?欢迎留言分享。
ps:本文配图均源于网络,如有侵权联系删除
- 飞鹤再推新品星飞帆卓睿 唤醒宝宝天生“三力”
- 嫌弃|“黑脸宝宝”走红,出生后被全家嫌弃太丑,2个月后却逆袭成“团宠”
- 婴幼儿该不该频繁理发的三个原因,宝妈能从中发现宝宝的健康情况
- 妈妈们|劝告母乳喂养宝宝时有6个表现,要停止喂养,再喂就该积食了
- 新生儿宝宝为什么总打嗝?
- 乳头|宝宝哭闹不止,妈妈掀开衣服后瞬间爆炸:原来是奶奶做了“手脚”
- 打分|11岁男孩给父母打分,爸爸10分,妈妈0分,评价标准很“无奈”
- 新生儿|三胎宝宝夭折,家属索赔200万,曾两次拒绝剖腹产引热议
- 体重|孕妈妈体重增长的多少、早晚都会影响胎宝宝的发育,不能任性为之
- 智商|遗传和孕期营养,哪个对宝宝的智商影响更大?附孕期饮食指南
