孩子|送给孩子正在换牙的父母们,你们一直都做错了什么?( 二 )

文章插图
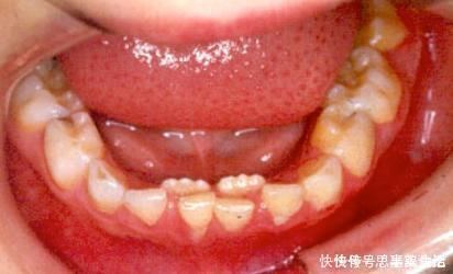
双层牙

文章插图
要把这两颗拔掉避免养成口腔相关的一些不良习惯,防止继发引起牙齿排列不齐。比如:用牙吮咬唇、舌、笔、手指等;唇、舌的不良习惯(例如有的孩子喜欢舌尖反复去舔某一颗牙的位置或牙缝);偏侧咀嚼;异常的上下颌运动(比如有的孩子喜欢反复前伸下颌等等);张口呼吸;。一旦发现龋齿,尽快去治疗!若乳牙脱落后很长时间,尚未见恒牙萌出,家长如果实在担心,确实可以请医生临床检查。(实际上绝大绝大多数都没有任何问题,可是家长们不看不放心哪)定期观察萌出的恒牙大小、形态和位置是否正常,若实在觉得异常,可以就诊检查(尤其提醒那些多数乳牙就发生了严重的龋齿、根尖周炎且没有治疗的宝宝家长,这样的孩子往往嘴里一堆乳牙烂牙根、残冠,确实有换牙期出现问题的可能,要多关注)。替牙期如果孩子出现牙龈出血,必须及时治疗!!
- 小时候过新年穿新衣,现在新年你们会给孩子准备特别的仪式感吗?
- 备孕干货来了,正在备孕的你别慌,学会找准排卵期“好孕”来得快
- 父母|孩子如果出现下面几点,证明是被父母宠溺坏了,要赶紧纠正
- 宝妈|如果流露出5个迹象,父母不用藏着掖着,说明你把孩子教育的很棒
- 目标感|孩子懒惰没有目标?比定目标更重要的,是培养孩子的“目标感”
- 6岁之前,别教孩子学画画!
- 孤独症孩子语言理解能力差怎么办?几个建议帮到你
- 说话晚、咬字不清?重视孩子语言障碍,别让语言迟缓耽误孩子一生
- 孤独症孩子的11种常见问题行为(附加应对方法),家长速看
- 天使科普:这些表现是孩子智力低下的早期信号,家长可以注意了!