湘雅医院|11月大幼儿喝奶后多次呕吐,送进医后竟被查出肿瘤
近日,中南大学湘雅医院神经外科团队紧急为一名不到1岁的室管膜瘤患儿实施了难度较大的显微手术全切。目前患儿已康复出院,脑积水明显好转,呕吐和不能独坐等症状均有缓解。

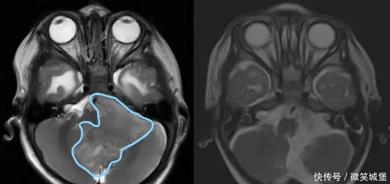
文章插图
10天前,11个月大的幼儿丁丁在喝完200ml牛奶后,突然开始呕吐。
妈妈刘女士以为是喂食不当引起的,并未重视。
但随后几天,丁丁仍每天呕吐2-3次,均为进食后呕吐。
刘女士带孩子到当地县医院进行了简单的护胃、补液治疗后,患儿的症状不但没有好转,反而呕吐得更加频繁,不愿意进食,甚至连独坐都困难,囟门张力也高。
意识到情况严重的刘女士立即带丁丁到市医院做了头部CT,显示第四脑室占位性病变所致梗阻性脑积水,随后慕名来到中南大学湘雅医院。
经小儿神经外科主任赵杰教授评估后认为,患儿有明显颅高压症状,应该尽快手术,严重的可能会出现脑疝。

文章插图
以赵杰主任为首的专家团队为丁丁实施了脑干肿物切除术+脑脊液瘘修补术,手术以枕后正中入路,立体定向导航系统定位肿瘤。
术中可见一个65*54*60mm肿瘤自四脑室正中孔突出,进入枕骨大孔以下,压迫延髓及颈髓。专家在切除肿瘤的同时,注意小心保护相关的神经和血管结构。
经过3个半小时的显微操作,手术将肿瘤全部切除。

文章插图
术中快速病检显示,肿瘤为室管膜瘤,这是一种起源于室管膜上皮细胞的神经上皮性肿瘤,好发于儿童和青年,约占儿童颅内肿瘤的6-10%,发病率居儿童颅内肿瘤的第三位。
其中约25-51%的发生于3岁以下的儿童中,严重危害儿童的健康。
目前,室管膜瘤的治疗标准为手术切除及术后放疗。
据相关报道,肿瘤全切患儿的生存率可达到66-80%,而次全切除的患儿的生存率仅有0-47%,所以手术全切显得尤为重要。
但是根据肿瘤生长的部位、方式、大小以及术者经验等因素,目前全切率并不高,约在42-66%之间。
“对于神经外科医生来说,儿童四脑室肿瘤一直是个挑战。且丁丁肿瘤巨大,除占据四脑室外,还通过侧孔包绕脑干生长,与重要的神经血管比如后组颅神经及椎动脉血管及其分支粘连紧密。术中稍有不慎,可能损伤脑干及小脑组织,甚至损伤脑干上发出的颅神经,全切通显得较为困难,这要求手术者有较高的显微操作技术及术中耐心的分离与技巧。”
赵杰主任表示,目前中南大学湘雅医院神外应用显微外科技术切除室管膜瘤全切率达88%,且死亡率、并发症发生率少。
赵杰主任建议,室管膜瘤的病程长短不一,首发症状多为头痛,常伴头晕、呕吐等,建议儿童肿瘤患者如出现视力减退、头痛头晕、行走不稳等情况要及时到正规大医院的儿童神经系统肿瘤诊疗中心就诊,以免耽误治疗。
(编辑zebra。)
湖南医聊特约作者:中南大学湘雅医院 肖小乔
【 湘雅医院|11月大幼儿喝奶后多次呕吐,送进医后竟被查出肿瘤】关注@湖南医聊,获取更多健康科普资讯!
- 准妈妈们|怀孕后别忙着高兴,这件事要趁早做,不然以后生孩子医院都不接收
- 妈妈们|除了去医院,孕妇怎么判断腹中胎儿是否还活着?
- s大温孕妇在医院大厅地板分娩!此前接连三次被拒绝入院
- app|凌晨3点肚子痛,上午到医院挂号,医生惊讶:您可真沉得住气
- 真假宫缩有什么区别?若是这三个特征,孕妈就要抓紧去医院待产了
- 重症监护室|产妇羊水栓塞大出血,寮步医院多学科协作成功抢救
- 脾胃|婆婆带娃个头高,从未去过医院,奶奶说注意3点,孩子远离积食
- 综合医院|(医卫)“十四五”全国眼健康规划勾勒“清晰”未来
- 当孕妇出现这个表现,说明胎儿距离分娩不远了,赶紧去医院
- 新生命 新希望——河南抗疫宝宝的生命奇迹|新华全媒+| 河南省人民医院
