凯叔讲故事|最全儿童换牙时间表!爸妈一定要知道(建议收藏)

文章图片

文章图片

文章图片

文章图片

文章图片

文章图片

文章图片

文章图片

文章图片

作者 | 徐典典
越来越多的父母开始关注孩子的身高体重了 , 这是好事 。
但是很少有人关注到孩子的牙齿 。
看过这样一个案例:3岁的小女孩 , 一口乳牙竟然全部烂光了 。
父母带孩子去口腔医院检查时 , 连医生都惊呆了:20颗乳牙全部坏掉 , 连牙根都是黑的!大部分乳牙已经烂得只剩下牙根了 , 就连门牙也烂掉了一大半……
家长告诉医生 , 孩子从没刷过牙 , 经常在晚上睡前喝奶 , 喝完了也不漱口 。 大人也由着孩子 , 总觉得乳牙坏了也没事 , 反正以后还会换的 。 直到孩子吃饭都有困难了 , 才想到来看医生 。
这种情况绝不是个例 。 调查显示 , 我国儿童患龋齿的比例高达66% 。
【凯叔讲故事|最全儿童换牙时间表!爸妈一定要知道(建议收藏)】
图片来源:苏州口腔医院
罪魁祸首就是家长不重视孩子的口腔卫生 , 总以为孩子还小 , 等到换牙的时候自然就好了 。
有很多家长都对孩子的牙齿问题一知半解 , 导致出现问题时不能及时发现 。
比如 , 有的家长从来不检查孩子的嘴巴 , 患了龋齿根本发现不了;
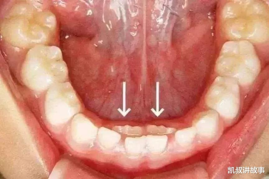
有的孩子长了双排牙 , 家人也迟迟没发现;
有的家长完全不清楚 , 孩子几岁该换什么牙……
双排牙 。 图片来源:苏州口腔医院
医生建议 , 孩子的口腔问题 , 从第一颗乳牙萌出开始 , 家长就要重视起来了 。
乳牙不好 , 直接关系到成年后是否拥有一口健康漂亮的牙齿 , 甚至影响孩子一生的口腔健康 。
家长经常出现的几个认知误区虽然乳牙早晚会换掉 , 但是乳牙不健康 , 后面的恒牙也好不到哪里去 。
大多数孩子第一次换牙是在6岁左右 , 也有少数提前或推后的情况 。
下面这张表 , 建议家长们收藏 , 对孩子的换牙顺序做到心中有数 。
有不少家长 , 就是因为不关注换牙顺序 , 平时也不检查孩子口腔 , 等到双排牙长出好一段时间了才发现 , 然后急匆匆地带孩子去医院拔牙……
还有的家长 , 对孩子的牙齿问题有不少误解 。
你是不是也经常听到下面这些话:
