食物|宝宝长出双排牙,是妈妈在作怪,孩子饮食出问题了!
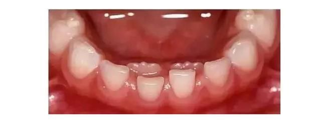
很多孩子在换牙或者是观察牙齿的情况时,会发现一种比较吓人的现象。很多小孩子的牙齿,尤其是上下两排均出现了双排牙的情况,张嘴的时候看起来有点吓人。这种双排牙齿在学名上面叫做乳牙滞留,在生活当中也比较常见。

文章插图
很多孩子的乳牙还没有掉,但是恒牙就迫不及待地长出来了,也正是因为比较常见,所以很多家长就自动性的忽略。在发现宝宝长了双排牙之后,第1个反应就是孩子长大一点牙齿掉了就没有关系了。因此在长时间的等待之下,双排牙对孩子的危害是越来越严重了。

文章插图
孩子会出现双排牙的原因,主要是因为吃的食物太过于精细,因为乳牙的牙根在被吸收的过程当中需要咬合来刺激,只有被自己磨损才能够尽快地脱落。但是家长在给孩子准备的食物当中,通常都是松软的米饭以及切成末的青菜和肉泥,让牙齿运动变少了很多。

文章插图
前排的牙齿,因为家长给孩子在准备水果食物时都是切成小块,孩子根本就用不到门牙。当孩子每天吃的非常好,营养过剩也会导致恒牙提前发育,在换牙期之前就已经长了出来。如果牙根出现问题,还有一些会跟牙床黏连在一块,乳牙也会不脱落。

文章插图
1、被别人嘲笑拥有双排牙的孩子基本上都不好看,会导致恒牙特别的不整齐,大人在跟宝宝聊天的时候可能不会太在意,觉得孩子的牙掉了就OK了。但是其他的小朋友就不一样了,这些孩子们比较好奇,也比较注重外表,看到孩子的牙齿有双排,就会有什么说什么。

文章插图
他们会觉得这个小朋友的牙齿,长得好像鲨鱼或者是太难看了,会直接说出来。在争吵的过程当中,这些小缺陷会成为他们攻击的重点,孩子长时间被同学嘲笑会变得特别的自卑。成为一个不爱讲话的孩子,让心情越来越压抑,最后会出问题的。

文章插图
2、颜值出现下降的情况双排牙齿所影响的不仅仅是自己的颜值,还会有恒牙的生长位置,让牙齿排列得特别不整齐,有的时候还会出现龅牙和地包天的情况。对孩子的颜值影响很深,所以千万不要让孩子出现双排牙这样的情况。

文章插图
双排牙牙齿缝隙很大,孩子吃东西时容易残留一些食物的残渣。因为结构比较复杂,所以清洁起来也是特别困难的。牙齿当中长期存在着一些食物的残渣,里面会有各种各样的细菌,导致牙齿出现变坏或其他的口腔问题。而现在有很多小孩子零食吃得比较多,清洁意识又没有跟上,口腔问题更严重。

文章插图
3、多让孩子用牙其实想要缓解这种问题的方法,最简单的就是经常性地用牙,通过啃咬或咀嚼的问题,让牙齿促进发育,加速血液循环,促进牙床和骨骼的发育。这些牙的牙根被吸收之后,乳牙就能够成功脱落,恒牙就要及时的长出来了。

- 飞鹤再推新品星飞帆卓睿 唤醒宝宝天生“三力”
- 嫌弃|“黑脸宝宝”走红,出生后被全家嫌弃太丑,2个月后却逆袭成“团宠”
- 婴幼儿该不该频繁理发的三个原因,宝妈能从中发现宝宝的健康情况
- 妈妈们|劝告母乳喂养宝宝时有6个表现,要停止喂养,再喂就该积食了
- 新生儿宝宝为什么总打嗝?
- 乳头|宝宝哭闹不止,妈妈掀开衣服后瞬间爆炸:原来是奶奶做了“手脚”
- 新生儿|三胎宝宝夭折,家属索赔200万,曾两次拒绝剖腹产引热议
- 体重|孕妈妈体重增长的多少、早晚都会影响胎宝宝的发育,不能任性为之
- 智商|遗传和孕期营养,哪个对宝宝的智商影响更大?附孕期饮食指南
- app|胎记是怎么来的?产科医生:孕期要避开3种行为,以免宝宝长胎记