医生|怀孕女子嫌产检麻烦,5个月后才到医院,结果肚子里全是小蝌蚪
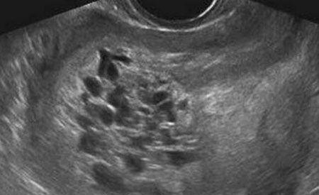
河南驻马店关某5个月前被查出怀孕,虽然是满心欢喜但是她却嫌做产检麻烦,除了确诊怀孕那天到过医院,其余时间5个月内再无涉足入医院半步。直到某天她腹部突然剧痛难忍,家人把她紧急送院,做了彩超检查后众人大惊失色,医生说她的肚子里根本看不到宝宝,只能看到一些类似蝌蚪状的小生物。后来医生经过精细检查,才诊断出关某的情况为葡萄胎,因受精卵异常所致,出现类似“葡萄”“小蝌蚪”等形态的小细胞。

文章插图
当医生知道关某因为懒惰没有例行产检,医生一时间愤怒了,严厉地批评了关某,说这种情况在第二个月的产检中可被检查出来而关某却活生生的拖了至少3个月!因为葡萄胎的出现导致胎儿死亡,如果不及时处理孕妇同样有生命之危,医生说到“关某再不来,可能自己性命就没了。”对于葡萄胎,相信除了部分孕妈妈,大多数人都不知道它的美名之下隐藏多大危机。1、什么是葡萄胎

文章插图
你听过的产子最高数量是多少个呢,5个?8个?或者是一支足球队的人数?其实在我国古代曾有妇女产子六百的记录,后来人们才发现这数据不真实,不是数量上含水分,而是生出的这些怪胎全部是因为妊娠后胎盘绒毛滋养细胞增生、间质水肿因而导致出现大小不同的水泡,他们被称为是“奇胎”或“水泡状胎块”,因看上去像一串串葡萄,现医学名称其为“葡萄胎”。2、葡萄胎分类随着科学家对其研究深入,葡萄胎现被分为两类:(一)完全性葡萄胎胎盘绒毛全部受累,整个宫腔充满水泡,弥漫性滋养细胞增生,无胎儿及胚胎组织可见;(二)部分性葡萄胎部分胎盘绒毛肿胀变性,局部滋养细胞增生,胚胎及胎儿组织可见,但胎儿多死亡,有时可见较孕龄小的活胎或畸胎,极少有足月婴诞生。

文章插图
多么残酷的教训有多少人因为自己无不舒服表现而忽略了产检的重要性。母婴的健康情况不能光靠肉眼辨别或孕妇自身感觉,母婴的健康情况只能通过产检报告及时反馈,医生通过报告发现和消除影响胎儿发育的有害因素,从而避免孕期可能出现并发症、合并症等高危情况出现,保证母婴安全。妇女孕期应该做几次检查

文章插图
为保证胎儿健康,医生需从多项因素考虑,如:遗传性疾病、环境中的化学、物理、生物的有害物质、孕妇的营养膳食等。然而只有理论还是不行的,医生只能从产检结果中得知具体。女性凡是怀孕者,尽量做足十三次产检,时间分别为:怀孕12周、16周、20周、24周、28周、30周、32周、34周、36周、37周、38周、39周、40周,越到临盆待产的关键时刻产检的频率越高,因为医生要评估各项生产风险。希望孕妈妈们多点耐心,不要厌恶产检程序繁琐,多为腹中宝宝着想,宝宝健康才是父母最想要的。

文章插图
- 准妈妈们|怀孕后别忙着高兴,这件事要趁早做,不然以后生孩子医院都不接收
- 女婴身上味道刺鼻,一天洗3次澡也没用,医生检查后说出了原因
- app|凌晨3点肚子痛,上午到医院挂号,医生惊讶:您可真沉得住气
- app|胎记是怎么来的?产科医生:孕期要避开3种行为,以免宝宝长胎记
- 婴儿对着母亲“微笑”,医生伸手就是一巴掌,了解原因后宝妈道谢
- 产检时医生说“少指”,孕妇坚持生下来,全家看到宝宝后又喜又愁
- 真相|孕妇肚子上插着一把剪刀,胎儿被迫取出,真相让医生很无语
- 宫缩|怀孕28周很关键,产检时3个问题医生不提,产妇也要主动问
- 水肿|怀孕路上最辛苦的6个阶段,你熬到第几个了?
- 搬重物|怀孕后,有些动作可能“伤胎”,孕妈尽量不要做,胎儿:不喜欢
