
文章插图
肺结核的典型CT表现肺结核最常见的发病方式是呼吸道吸入,很多人无意中接触过肺结核病人 。

文章插图
结核杆菌抵抗力强,在太阳光直射环境下,需要2~7小时才能杀灭,最适宜的生长温度是37℃,增代时间大约是14~20小时 。
结核杆菌的破坏力也很强,可以引起肺内多种形态病灶 。比较典型的有:大片实变、树芽征、大小不等的结节(常伴有钙化)、多种形态空洞、支气管损伤(包括支气管扩张和狭窄) 。
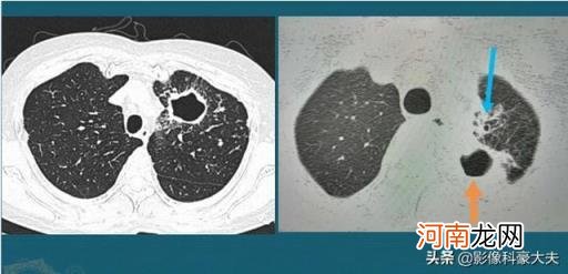
像这两个空洞样病灶,就是典型的肺结核,特点是空洞内壁光滑,周围有多种形态的卫星灶(索条影、粟粒状影,伴有支气管扩张) 。
因为肺结核杆菌含有大量脂肪成分,液化坏死以后可以与周围的钙离子发生皂化反应,形成脂肪酸钙,像肥皂颗粒一样具有清洁功能,加上结核杆菌的破坏比较彻底,所以肺结核的空洞常常比较光滑 。
其中代表肺结核处于活动期的CT征象有:大片实变影伴有支气管损伤、磨玻璃影、树芽征、伴有液平面的空洞,或是短期复查形态态有变化的空洞 。发现这种病灶要注意隔离,因为具有一定的传染性 。
像这种陈旧性病灶,已经完全钙化,就没有传染性,不需要担心了 。
【肺结核多久才是晚期 得了肺结核晚期,是不是没得医?】我是影像科豪大夫,欢迎关注!
- 酱肉蒸多久时间
- 皮皮虾水煮多久能熟
- 大龙虾能活多久
- 信用卡不激活上征信吗 信用卡不激活多久作废?
- 微信第一次封禁几天 微信封号封多久能恢复?
- 审批通过确定会放款吗 银行贷款审批通过后多久放款?
- 散尾葵多久浇一次水优质
- 日食多久一次 一次日食能持续多久?
- 京东618促销活动方案 2022京东618活动多久开始?
- 砂锅用水泡多久才能用 砂锅用水泡多久才能用
